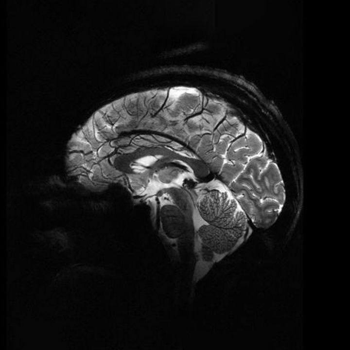
Mémoire qui flanche : l’IRM relie le « rétrécissement » du cerveau au vieillissement. - Sciences & Santé -
                    Luxe radio
Mémoire qui flanche : l’IRM relie le « rétrécissement » du cerveau au vieillissement.
• Lait cru : après un décès de nouveau-né, alerte sur la listériose et rappel sur la pasteurisation. • Sciences : en janvier 2026, dix infos positives entre santé, biodiversité et énergie décarbonée. • Mars : Perseverance a roulé sur un trajet planifié par IA, une première pour la NASA.
By Sara Rami
06 February 2026